歯を削らない審美歯科治療
Laminate veneer

自然の歯を大切に
美しさを手に入れる

歯を削らないラミネートベニアは、歯の美観を改善するための最新の歯科治療法です。この方法は、従来のラミネートベニアに比べて歯をほとんど削らずに行うことができるため、天然の歯に優しい選択肢となっています。
歯を削らないラミネートべニア治療が専門誌に掲載
2025年に創刊50周年を迎える歯科医師と歯科技工士がともに読む質の高い補綴専門誌「QDT」に、当院の歯を削らないラミネートべニア治療の症例が取り上げられ掲載されました。
真っ白い歯から透明感がある天然歯まで、様々なご要望にお応えできる高度な技術を当院は持っています。お気軽にご相談ください。

歯を削らない
ラミネートべニア

削らないラミネートベニアは、歯を削ることなくセラミックやジルコニアのシェルを天然歯に接着する治療法です。
麻酔や仮歯が不要で、初回に歯型を取り、次回にオーダーメイドのシェルを装着します。軽度の歯列不正にも対応でき、詰め物や差し歯がある歯にも適用可能です。
※もちろん通常のラミネートべニア治療も対応しております。
こんな方におすすめ
- 歯の形状が気になる方
- 他の歯と比べて小さな歯や欠けている部分を修整したい方
- 既存の詰め物によって色ムラがある方
- 歯を削ることなくセラミックにしたい方
- 短期間で歯の色を変えたい方
- ホワイトニングでは改善が難しい方
- 先天的な遺伝や薬の影響で歯が変色している方
- 一部の歯並びを改善したい方
- 外傷や歯の摩耗による左右非対称の形を改善したい方
- 軽度の歯間離開(すきっ歯)に対処したい方
- テトラサイクリンによる歯の変色や神経失活による変色を改善したい方
- 結婚式や就職活動など、大切なイベントに向けて短期間で治療を終えたい方
歯を削らない
ラミネートべニアの特徴

- 歯を削ることなく歯の色調や形態を治せる。
- 麻酔もする必要が無いため痛みやダウンタイムが無い。
- 最短2回で終わる短期治療。
- 歯を削ることが無いので、元の状態に戻せる。
- ホワイトニングでは限界を感じている方には痛みが無く白い歯にできる。
- 噛み合わせ・歯ぎしりの強い方は、破損防止のためにマウスピースをお勧めすることがあります
- 適応症例に限りがありますが、歯の色調や形態、軽度の不正咬合を解決できる。
歯を削らない
審美歯科治療のケース
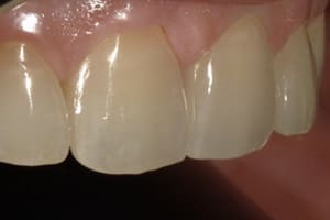
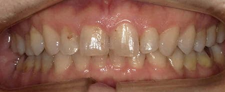
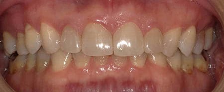
CASE.01
歯を削らないラミネートべニアの症例
-

治療前の口腔内
-

治療後の口腔内
-

治療前の口元
-

治療後の口元
-
- 主訴
- 歯が欠けて何度もレジンで治療したが取れるのを治したい。
-
- 治療内容
- 上顎2番~2番の4本を歯を削らないラミネートべニア
-
- 治療期間
- 2週間
-
- 治療回数
- 2回
-
- 治療費用
- 440,000円(4本)
リスク・副作用
- 歯科用接着剤で接着するため、経時的に脱離、破折の可能性があります。
- 歯ぎしり、食いしばりが強いと脱離の可能性が高くなります。
- チップを外すには歯科医院で専用の器具を使用する必要があります。
- チップの分だけ歯に厚みがでます。
審美セラミック歯科治療費(税込表示)
| コア | ファイバーコア | 11,000~16,500円 |
|---|---|---|
| インレー | セラミック・ジルコニア | 66,000~88,000円 |
| アンレー | セラミック・ジルコニア | 77,000~99,000円 |
| クラウン | セラミック・ジルコニア | 110,000~187,000円 |
| ラミネートべニア | セラミック | 132,000円 |
| 削らないラミネートべニア | ジルコニア | 110,000円 |

執筆・監修者 河本清司(院長)
- 国際口腔インプラント会議 認定医
- 日本口腔インプラント学会 会員
- OJ会員
- ジャパンオーラルヘルス学会 会員
- D3 study group 主宰
当院では、歯科治療への不安や緊張を感じる患者様が少しでもリラックスできるよう、明るい笑顔と世間話を交えながら丁寧に対応しています。また、最新の口腔内スキャナーを用いて、3D画像でご自身の口腔状況をわかりやすくご説明し、治療の必要性についてもご理解いただけるよう心がけています。お気軽にご相談ください。
