グラフト骨造成インプラント
Graft implant

骨が足りない場合に
骨をつくる骨造成治療

骨をつくる骨造成治療であるグラフト術式とは、骨幅、骨量、骨の高さなどが不足しており、骨造成を行わないとインプラント治療ができない症例や高い審美性を確保する場合に、骨移植(ボーングラフト)や骨造成(GBR)により、アゴの骨量を増やして厚くし、インプラント治療を行う治療法のことを言います。
骨造成治療
グラフト術式の種類
GBR・骨誘導再生法

GBR(Guided Bone Regeneration)とは、骨誘導再生法とも呼ばれます。
充分な骨の厚みと幅がインプラントを埋入するときに必要となります。しかし、歯を抜いた後に長期間経過すると歯を支えていた骨の吸収が進んでしまいます。同様に歯根の先が膿んでいる場合にも骨の吸収が進行します。
また、歯ぐき周りのボリュームを出し、審美性を向上させるために骨造成を行うこともあります。
このようにGBR法は、十分な骨の厚みや幅がない場合や審美性を高くする場合に、骨の厚みや幅を増やす手法です。
サイナスリフト法

上顎には鼻の横あたりに上顎洞という大きな空洞があります。
この上顎洞から歯の部分までの骨の高さが不足している場合に、人工骨や自身の骨(自家骨)を移植することにより、インプラント埋入するために必要な骨の厚みを作り出す方法がサイナスリフト法です。
ボーングラフト法

骨移植であるボーングラフトは、歯槽骨が吸収され骨幅が薄くなりインプラントが埋入できない症例で行う手法です。
この方法は十分な量の骨が得られない場合に、自身の骨を必要最小限ブロックで切り出し、骨が薄く足りなくなった箇所に移植することで必要な骨を作り出します。
骨造成治療のケース
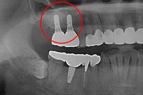
CASE.01 「サイナスリフト法」
-
- 治療内容
- サイナスリフト法
-
- 治療費用
- ¥220,000
CASE.02 「GBR・骨誘導再生法」
-
- 治療内容
- GBR・骨誘導再生法
-
- 治療費用
- ¥110,000
インプラント治療費用
(税込表示)
| 診断料 | ¥22,000 | |
|---|---|---|
| CT撮影・コンピュータ診断 | ¥16,500 | |
| 埋入手術+ヒーリングアバットメント | ¥275,000 | |
| 補綴(差し歯) | ¥22,000 | |
| サージカルガイド料金 | 1歯 | ¥33,000 |
| 2~3歯 | ¥44,000 | |
| 4歯以上 | ¥66,000 | |
| セデーション(静脈内鎮静法麻酔) | ¥55,000 | |
| 骨造成(自家骨・人工骨) | ¥55,000 | |
| サイナスリフト | ¥220,000 | |
| 最終補綴(臼歯部)ジルコニアクラウン | ¥165,000 | |
| 最終補綴(前歯部)セラミッククラウン | ¥198,000 | |
グラフト骨造成インプラントのリスク・副作用
- 骨造成の費用が発生します
- 通院回数が増えたり、治療期間が長くなったりする場合があります
- 骨造成法の種類によっては手術回数が増えます
- 通常のインプラント治療よりも、痛みや腫れが生じやすくなります
- 通常のインプラント治療よりも、感染のリスクが高まる場合があります

執筆・監修者 河本清司(院長)
- 国際口腔インプラント会議 認定医
- 日本口腔インプラント学会 会員
- OJ会員
- ジャパンオーラルヘルス学会 会員
- D3 study group 主宰
当院では、歯科治療への不安や緊張を感じる患者様が少しでもリラックスできるよう、明るい笑顔と世間話を交えながら丁寧に対応しています。また、最新の口腔内スキャナーを用いて、3D画像でご自身の口腔状況をわかりやすくご説明し、治療の必要性についてもご理解いただけるよう心がけています。お気軽にご相談ください。




